認識犬貓的腦血管性疾病(中風)
腦血管性疾病(cerebrovascular disease)
是指腦部血流因血栓、栓塞或出血而中斷,俗稱中風,是人類的第三大死因。過去有些人會認為狗狗貓咪不會像人一樣出現中風。但隨磁振造影(MRI)等診斷技術普及,越來越多的中風病例被發現,在一篇研究中,作者所在機構的神經科轉診病例發生率為 1.5% 至 2%。
常見原因
腦血管性疾病包含 缺血性中風(ischaemic stroke)及 出血性中風(haemorrhagic stroke)
缺血性中風:血栓或栓塞阻塞腦血管,造成腦部血流減少。
出血性中風:血管破裂引發腦內出血及血腫。
造成中風的風險因子包括:
- 顱內腫瘤
- 頭部創傷
- 高血壓:可能繼發於慢性腎病及內分泌疾病
- 全身性感染或寄生蟲感染
- 凝血功能異常
臨床症狀有哪些?
- 突然出現局部神經功能異常,例如單側偏癱、走路不穩、頭歪或意識改變。
- 症狀多為非進行性,即症狀當下最為嚴重,但不會逐漸惡化。
- 合併症狀可能包括嘔吐、眼球震顫、失去平衡等等。
如何確診?
- 神經學檢查:門診初步定位病灶位置,例如腦幹、小腦或大腦
- MRI 是診斷黃金工具:能清楚觀察缺血/出血位置與範圍,一些特殊序列如加權梯度回波序列(T2*W、GRE)、擴散加權成像(DWI)等對出血及缺血性病灶極具診斷力
- 其他檢查:如心臟、血壓、血液凝血功能評估,找出中風可能誘因
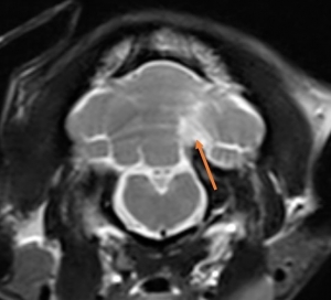
✎ 圖二為13歲狗狗出現腦部血腫,為出血性中風。
✎ 圖三為15歲馬爾濟斯狗狗出現頸部彎折和歪頭的症狀,檢查結果為小腦中風。
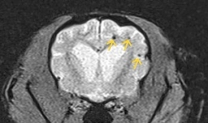
✎ 圖四及圖五腦部微出血在MRI特殊序列下無所遁形!
治療與照護要點
- 急性期穩定生命徵象:控制腦水腫,穩定腦壓、補充液體、維持血壓穩定
- 支持療法:復健訓練、平衡練習、輔助站立
中風的預後取決於中風的類型和部位、神經功能障礙的嚴重程度、病情惡化或併發症的發生情況,以及最終的潛在病因。多數狗貓經穩定治療後,可在數週內顯著恢復,預後相對良好。但部分伴隨進行性病灶周圍水腫、持續性血管病變或持續性出血的病例,即使能夠康復,可能會延遲康復或留下後遺症。
預防與照護建議
- 定期追蹤內分泌疾病
- 控制肥胖、維持穩定血壓
- 如有癲癇發作、行為異常,應及早回診進行腦部影像檢查
https://www.facebook.com/permalink.php?story_fbid=pfbid02kHxN5T9owpZiNffCbPLTCfJp2e6fKrV5Bdt
G5sRg3JHPuyfBigJjKQvA9TAvSE9Jl&id=61573221058275
-1-300x272.jpg)
-2-300x187.jpg)
-3-225x300.jpg)
-4-300x230.jpg)
-5-300x178.jpg)
Scroll to top
官方網站設計
, 設計品牌
, 台北品牌設計
, 台南品牌設計
, 品牌設計
, LOGO設計
, 台北LOGO設計
, 台南LOGO設計
, 名片設計
, 台北名片設計
, 台南名片設計
, CIS企業識別設計
, 設計LOGO
, 台北設計LOGO
, 台南設計LOGO
, 視覺設計
, 網頁設計
, 台北網頁設計
, 台中網頁設計
, 台南網頁設計
, 高雄網頁設計
, 網站設計
, 台北網站設計
, 台中網站設計
, 台南網站設計
, 高雄網站設計
, 官網設計
, 台北官網設計
, 台中官網設計
, 台南官網設計
, 高雄官網設計
, 公司官網設計
, 形象官網設計
, 產品官網設計
, 響應式網頁設計
, 響應式網站設計
, 公司網頁設計
, 教會網站設計設計
, 婚攝
, 婚禮攝影
, 婚紗攝影
, 婚攝推薦
, 美式婚禮攝影
, 美式婚紗攝影
, 孕婦寫真
, 親子寫真
, 家庭寫真
, 美式風格婚紗攝影
, 美式風格婚禮攝影
, 台北美式婚禮攝影推薦
, 網站設計
, 網頁設計
, 響應式網頁設計
, SEO最佳化
, SEO搜尋引擎最佳化
, 血壓量測
, 腕式血壓計
, 全自動手臂式血壓計
, 心房顫動偵測
, 體溫計
, 耳溫槍
, 額溫槍
, 熱敷墊
, 電毯
, 中風
, 高血壓
, 血壓計
, 血壓計推薦
, 血壓計品牌
, 歐姆龍
, 百靈
, 台北親子寫真
, 台南親子寫真
, 台中親子寫真
, 高雄親子寫真
, 台北兒童寫真
, 台南兒童寫真
, 台中兒童寫真
, 高雄兒童寫真
, 台北親子寫真推薦
, 台南親子寫真推薦
, 台中親子寫真推薦
, 高雄親子寫真推薦
, 台南家庭寫真
, 台中家庭寫真
, 高雄家庭寫真
, 台南全家福
, 台中全家福
, 高雄全家福
, 婚攝
, 台南婚攝
, 婚禮攝影
, 自助婚紗
, 台南婚禮攝影
, 台南婚禮攝影推薦
, 新秘
, 新娘秘書
, 新娘造型
, 高雄新秘推薦
, 台北新秘推薦
, 新秘Yuki
, 白色夢幻新秘Yuki
, 新娘秘書Yuki
, 新娘助理
, 高雄新秘
, 台北新秘
, 婚禮婚紗造型
, 新娘妝髮造型
, 新秘彩妝造型
, 自助婚紗造型
, 台北新娘秘書推薦
, 高雄新娘秘書推薦
, 花草風造型
, 自然風格造型
, 室內香氛
, 居家香氛
, 房間香氛
, 空間香氛
, 香氛蠟燭
, 香氛精油
, 居家香精
, 精油香氛
, 居家香氛擴香
, 香氛蠟燭推薦
, 房間香氛推薦
, 香氛品牌推薦
, 嚴選香氛
, 香氛推薦
, 精油推薦
, 高雄葬儀社
, 高雄生命禮儀
, 高雄殯葬服務
, 屏東葬儀社
, 屏東生命禮儀
, 屏東殯葬服務
, 寵物氧氣機
, 寵物活氧機
, 寵物專用氧氣機
, 寵物呼吸機
, 狗用氧氣機
, 貓用氧氣機
, 犬貓氧氣機
, 婚禮顧問
, 婚顧
, 婚禮企劃
, 婚禮主持
, 雙語婚禮主持
, 英文婚禮主持
, Wedding mc
, Wedding Planner
, Bilingual Wedding
, Wedding mc in Taiwan
, Wedding mc in Taipei
, Wedding Planner in Taiwan
, Wedding Planner in Taipei
, Bilingual Wedding mc in Taiwan
, Bilingual Wedding mc in Taipei
, 婚禮顧問推薦
, 婚禮企劃推薦
, 高雄牙醫
, 高雄根管治療
, 高雄根尖手術
, 高雄牙醫師
, 寵物保健
, 寵物關節
, 貓咪保健
, 狗狗保健
, 寵物腸胃
, 寵物皮膚保健
, 美白膠囊
, 白蕃茄
, 冰晶蕃茄
, 白蕃茄膠囊
, 美白食品
, 美白錠
, 台南室內設計推薦ptt
, 台南室內裝潢公司
, 台南老屋翻新
, 台南統包推薦
, 台南老屋改建
, 台南室內設計推薦
, 台南室內設計推薦
, 室內設計推薦
, 室內設計
, 室內裝潢
, 現代簡約風設計
, 筋膜刀
, 中醫針灸
, 脊椎滑脫
, 徒手治療
, 五十肩
, 類風溼性關節炎
, 二手沖床
, 中古沖床買賣
, 中古沖床維修
, 中古鍛造機買賣
, 中古鍛造機維修
, 團體制服
, 團體制服訂製
, 團體服
, 班系服訂製
, 公司服訂製
, 活動服訂製
, 曳引機
, 電動曳引機
, 大型農機補助
, 香氛
, 泡澡球
, 香水
, 舒眠噴霧
, 車用擴香
, 車用香氛
, 板橋生命禮儀
, 禮儀公司
, 葬儀社
, 板橋葬儀社
, 新北葬儀社
, 追思用品
, 喪禮花籃
, 罐頭塔
, 告別式靈獅
, 告別式花籃
, 祝賀花籃
, 喪禮米塔
error: Content is protected !!
官方網站設計
, 設計品牌
, 台北品牌設計
, 台南品牌設計
, 品牌設計
, LOGO設計
, 台北LOGO設計
, 台南LOGO設計
, 名片設計
, 台北名片設計
, 台南名片設計
, CIS企業識別設計
, 設計LOGO
, 台北設計LOGO
, 台南設計LOGO
, 視覺設計
, 網頁設計
, 台北網頁設計
, 台中網頁設計
, 台南網頁設計
, 高雄網頁設計
, 網站設計
, 台北網站設計
, 台中網站設計
, 台南網站設計
, 高雄網站設計
, 官網設計
, 台北官網設計
, 台中官網設計
, 台南官網設計
, 高雄官網設計
, 公司官網設計
, 形象官網設計
, 產品官網設計
, 響應式網頁設計
, 響應式網站設計
, 公司網頁設計
, 教會網站設計設計
, 婚攝
, 婚攝Allen
, 婚禮攝影
, 婚禮紀錄
, 婚攝推薦
, 婚攝
, 婚攝
, 婚攝
, 寒舍艾美婚攝推薦
, 文華東方婚攝推薦
, 君品酒店婚攝推薦
, 諾富特婚攝推薦
, 萬豪酒店婚攝推薦
, 婚攝Vincent
, 婚攝
, 婚攝
, 婚攝
, 台北婚攝
, 台中婚攝
, 台南婚攝
, 高雄婚攝
, 美式婚攝
, 婚禮攝影美式
, 婚禮攝影推薦
, 婚禮攝影
, 婚禮攝影
, 婚攝推薦
, 婚禮紀錄
, 婚紗攝影
, 寒舍艾美婚攝
, 婚禮攝影
, 自助婚紗
, 婚攝
, 婚攝推薦
, 婚攝小寶
, 婚禮攝影
, 自助婚紗
, 婚禮紀錄
, 婚攝
, 婚禮攝影
, 婚紗攝影
, 婚攝推薦
, 美式婚禮攝影
, 美式婚紗攝影
, 孕婦寫真
, 親子寫真
, 家庭寫真
, 美式風格婚紗攝影
, 美式風格婚禮攝影
, 台北美式婚禮攝影推薦
, 網站設計
, 網頁設計
, 響應式網頁設計
, SEO最佳化
, SEO搜尋引擎最佳化
, 新秘
, 新秘小淑
, 新娘秘書
, 新娘造型
, 台中新秘
, 婚禮婚紗造型
, 新秘推薦
, 台中西屯霧眉
, 台中霧眉
, 血壓量測
, 腕式血壓計
, 全自動手臂式血壓計
, 心房顫動偵測
, 體溫計
, 耳溫槍
, 額溫槍
, 熱敷墊
, 電毯
, 中風
, 高血壓
, 血壓計
, 血壓計推薦
, 血壓計品牌
, 歐姆龍
, 百靈
, 台北攝影棚出租
, 台北攝影棚租借
, 攝影棚出租
, 攝影棚租借
, 攝影場地租借
, 專業形象照
, 形象照拍攝
, 個人形象照
, 孕婦禮服出租
, 孕婦禮服租借
, 自助婚紗
, 自助婚紗攝影
, 台北攝影棚出租推薦
, 台北專業形象照推薦
, 孕婦禮服出租推薦
, 自助婚紗推薦
, 婚攝
, 婚禮攝影
, 婚禮紀錄
, 婚攝
, 婚攝勇年
, 婚禮紀錄
, 婚紗婚攝
, 孕婦寫真
, 婚禮攝影
, 自助婚紗
, 婚攝推薦
, 文華東方婚攝
, 親子寫真
, 台南親子寫真
, 台中親子寫真
, 高雄親子寫真
, 台南兒童寫真
, 台中兒童寫真
, 高雄兒童寫真
, 台南親子寫真推薦
, 台中親子寫真推薦
, 高雄親子寫真推薦
, 台南家庭寫真
, 台中家庭寫真
, 高雄家庭寫真
, 台南全家福
, 台中全家福
, 高雄全家福
, 婚攝
, 台南婚攝
, 婚禮攝影
, 自助婚紗
, 台南婚禮攝影
, 台南婚禮攝影推薦
, 新秘
, 新娘秘書
, 新娘造型
, 高雄新秘推薦
, 台北新秘推薦
, 新秘Yuki
, 白色夢幻新秘Yuki
, 新娘秘書Yuki
, 新娘助理
, 高雄新秘
, 台北新秘
, 婚禮婚紗造型
, 新娘妝髮造型
, 新秘彩妝造型
, 自助婚紗造型
, 台北新娘秘書推薦
, 高雄新娘秘書推薦
, 花草風造型
, 自然風格造型
, 室內香氛
, 居家香氛
, 房間香氛
, 空間香氛
, 香氛蠟燭
, 香氛精油
, 居家香精
, 精油香氛
, 居家香氛擴香
, 香氛蠟燭推薦
, 房間香氛推薦
, 香氛品牌推薦
, 嚴選香氛
, 香氛推薦
, 精油推薦
, 根尖手術
, 根管治療
, 牙齒再植手術
, 顯微根管
, 鈣化根管治療
, 再生性根管治療
, 牙根黑影與膿包治療
, 高雄根管治療
, 高雄牙齒醫師
, 高雄顯微根管醫師
, 美白牙齒
, 婚攝
, 婚攝
, 孕婦寫真
, 網頁設計/a>
,
, 品牌設計/a>
,
, LOGO設計/a>