第三對腦神經病變(Oculomotor nerve . CN III)
常見神經症狀:瞳孔大小不-(Anisocoria)-2
除了霍納氏症候群,還有哪些神經問題會造成眼睛一大一小?
上次我們介紹了「霍納氏症候群(Horner’s syndrome)」是造成瞳孔縮小的常見神經性原因。
但其實,除了交感神經路徑受損,還有其他重要的神經疾病也會讓毛孩出現瞳孔不等大(Anisocoria)!
今天就來一次帶大家認識
第三對腦神經病變(Oculomotor nerve / CN III)
第三對腦神經(CN III)/動眼神經的神經核位於中腦(腦幹前半部),其副交感神經部分負責讓瞳孔縮小。
當CN III 出問題時,會出現:
- 同側瞳孔散大(Mydriasis)
- 瞳孔光反射(Pupillary light reflex)減弱或消失
由於 CN III 周圍緊鄰其他腦神經與重要腦幹結構,這類病患常會伴隨常常也會伴隨其他臨床神經症狀或神經學檢查異常!
常見原因:腦幹病變(ex. 腫瘤、發炎性腦病、血管性病灶 …)
需要進階影像檢查以獲得診斷。
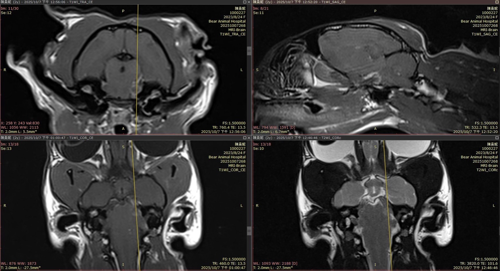
案例分享
前陣子一隻2歲貓貓因瞳孔大小不一、四肢無力及精神食慾下降來院就診,核磁共振影像發現左側第三對及第五對腦神經腫大且顯影增強,最終診斷為大球淋巴瘤伴隨中樞神經侵犯 (Large cell lymphoma with CNS involvement)。
圖一:2歲米克斯貓左側瞳孔縮瞳

圖二、MRI顯示左側第三對及第五對腦神經腫大且顯影增強

小腦病變(Cerebellar lesion)
雖然小腦主要負責動作協調,但它可能造成瞳孔大小不一,近年有一篇病歷報告,報導發生在小腦的缺血性中風可能造成同側瞳孔散瞳!
兩隻病例都出現:
- 單側散瞳
- 前庭症狀
- 單側威嚇反應消失
- 腦定位的神經學異常
最後均經由 MRI 確診為小腦梗塞。
若瞳孔異常伴隨「搖晃步態、前庭症狀」,影響小腦的疾病是重要可能原因。
圖三:病歷報告中一隻米可斯犬與一隻靈緹犬均出現左眼散瞳症狀。

圖四:上述米可斯犬的MRI影像,診斷為左側小腦缺血性中風。

文獻:
Mydriasis associated with ischemic cerebrovascular infarct affecting the ipsilateral cerebellar interposital nucleus in 2 dogs(2024)
自主神經功能失調(Dysautonomia)
Dysautonomia 會同時影響交感與副交感神經,因此瞳孔/眼睛相關症狀可能包括:
- 雙側或單側散瞳
- PLR 減弱或消失
- 第三眼瞼突出
- 淚液分泌減少(乾眼)
也可能伴隨全身性症狀:
- 腸胃蠕動異常(嘔吐、便秘、腹痛…等等)
- 吞嚥困難
- 排尿障礙
若瞳孔異常合併多系統症狀,必須考慮自主神經疾病。
小提醒
其實還有其他腦部疾病也可能造成瞳孔大小不一,例如:
- 大腦皮質病灶
- 顱內壓上升(ICP elevation)
建議飼主在第一時間拍照或錄影紀錄症狀,並盡快帶毛孩就醫檢查
越早診斷、越早治療,越能提升毛孩的恢復機會
Scroll to top
官方網站設計
, 設計品牌
, 台北品牌設計
, 台南品牌設計
, 品牌設計
, LOGO設計
, 台北LOGO設計
, 台南LOGO設計
, 名片設計
, 台北名片設計
, 台南名片設計
, CIS企業識別設計
, 設計LOGO
, 台北設計LOGO
, 台南設計LOGO
, 視覺設計
, 網頁設計
, 台北網頁設計
, 台中網頁設計
, 台南網頁設計
, 高雄網頁設計
, 網站設計
, 台北網站設計
, 台中網站設計
, 台南網站設計
, 高雄網站設計
, 官網設計
, 台北官網設計
, 台中官網設計
, 台南官網設計
, 高雄官網設計
, 公司官網設計
, 形象官網設計
, 產品官網設計
, 響應式網頁設計
, 響應式網站設計
, 公司網頁設計
, 教會網站設計設計
, 婚攝
, 婚禮攝影
, 婚紗攝影
, 婚攝推薦
, 美式婚禮攝影
, 美式婚紗攝影
, 孕婦寫真
, 親子寫真
, 家庭寫真
, 美式風格婚紗攝影
, 美式風格婚禮攝影
, 台北美式婚禮攝影推薦
, 網站設計
, 網頁設計
, 響應式網頁設計
, SEO最佳化
, SEO搜尋引擎最佳化
, 血壓量測
, 腕式血壓計
, 全自動手臂式血壓計
, 心房顫動偵測
, 體溫計
, 耳溫槍
, 額溫槍
, 熱敷墊
, 電毯
, 中風
, 高血壓
, 血壓計
, 血壓計推薦
, 血壓計品牌
, 歐姆龍
, 百靈
, 台北親子寫真
, 台南親子寫真
, 台中親子寫真
, 高雄親子寫真
, 台北兒童寫真
, 台南兒童寫真
, 台中兒童寫真
, 高雄兒童寫真
, 台北親子寫真推薦
, 台南親子寫真推薦
, 台中親子寫真推薦
, 高雄親子寫真推薦
, 台南家庭寫真
, 台中家庭寫真
, 高雄家庭寫真
, 台南全家福
, 台中全家福
, 高雄全家福
, 婚攝
, 台南婚攝
, 婚禮攝影
, 自助婚紗
, 台南婚禮攝影
, 台南婚禮攝影推薦
, 新秘
, 新娘秘書
, 新娘造型
, 高雄新秘推薦
, 台北新秘推薦
, 新秘Yuki
, 白色夢幻新秘Yuki
, 新娘秘書Yuki
, 新娘助理
, 高雄新秘
, 台北新秘
, 婚禮婚紗造型
, 新娘妝髮造型
, 新秘彩妝造型
, 自助婚紗造型
, 台北新娘秘書推薦
, 高雄新娘秘書推薦
, 花草風造型
, 自然風格造型
, 室內香氛
, 居家香氛
, 房間香氛
, 空間香氛
, 香氛蠟燭
, 香氛精油
, 居家香精
, 精油香氛
, 居家香氛擴香
, 香氛蠟燭推薦
, 房間香氛推薦
, 香氛品牌推薦
, 嚴選香氛
, 香氛推薦
, 精油推薦
, 高雄葬儀社
, 高雄生命禮儀
, 高雄殯葬服務
, 屏東葬儀社
, 屏東生命禮儀
, 屏東殯葬服務
, 寵物氧氣機
, 寵物活氧機
, 寵物專用氧氣機
, 寵物呼吸機
, 狗用氧氣機
, 貓用氧氣機
, 犬貓氧氣機
, 婚禮顧問
, 婚顧
, 婚禮企劃
, 婚禮主持
, 雙語婚禮主持
, 英文婚禮主持
, Wedding mc
, Wedding Planner
, Bilingual Wedding
, Wedding mc in Taiwan
, Wedding mc in Taipei
, Wedding Planner in Taiwan
, Wedding Planner in Taipei
, Bilingual Wedding mc in Taiwan
, Bilingual Wedding mc in Taipei
, 婚禮顧問推薦
, 婚禮企劃推薦
, 高雄牙醫
, 高雄根管治療
, 高雄根尖手術
, 高雄牙醫師
, 寵物保健
, 寵物關節
, 貓咪保健
, 狗狗保健
, 寵物腸胃
, 寵物皮膚保健
, 美白膠囊
, 白蕃茄
, 冰晶蕃茄
, 白蕃茄膠囊
, 美白食品
, 美白錠
, 台南室內設計推薦ptt
, 台南室內裝潢公司
, 台南老屋翻新
, 台南統包推薦
, 台南老屋改建
, 台南室內設計推薦
, 台南室內設計推薦
, 室內設計推薦
, 室內設計
, 室內裝潢
, 現代簡約風設計
, 筋膜刀
, 中醫針灸
, 脊椎滑脫
, 徒手治療
, 五十肩
, 類風溼性關節炎
, 二手沖床
, 中古沖床買賣
, 中古沖床維修
, 中古鍛造機買賣
, 中古鍛造機維修
, 團體制服
, 團體制服訂製
, 團體服
, 班系服訂製
, 公司服訂製
, 活動服訂製
, 曳引機
, 電動曳引機
, 大型農機補助
, 香氛
, 泡澡球
, 香水
, 舒眠噴霧
, 車用擴香
, 車用香氛
, 板橋生命禮儀
, 禮儀公司
, 葬儀社
, 板橋葬儀社
, 新北葬儀社
, 追思用品
, 喪禮花籃
, 罐頭塔
, 告別式靈獅
, 告別式花籃
, 祝賀花籃
, 喪禮米塔
error: Content is protected !!
官方網站設計
, 設計品牌
, 台北品牌設計
, 台南品牌設計
, 品牌設計
, LOGO設計
, 台北LOGO設計
, 台南LOGO設計
, 名片設計
, 台北名片設計
, 台南名片設計
, CIS企業識別設計
, 設計LOGO
, 台北設計LOGO
, 台南設計LOGO
, 視覺設計
, 網頁設計
, 台北網頁設計
, 台中網頁設計
, 台南網頁設計
, 高雄網頁設計
, 網站設計
, 台北網站設計
, 台中網站設計
, 台南網站設計
, 高雄網站設計
, 官網設計
, 台北官網設計
, 台中官網設計
, 台南官網設計
, 高雄官網設計
, 公司官網設計
, 形象官網設計
, 產品官網設計
, 響應式網頁設計
, 響應式網站設計
, 公司網頁設計
, 教會網站設計設計
, 婚攝
, 婚攝Allen
, 婚禮攝影
, 婚禮紀錄
, 婚攝推薦
, 婚攝
, 婚攝
, 婚攝
, 寒舍艾美婚攝推薦
, 文華東方婚攝推薦
, 君品酒店婚攝推薦
, 諾富特婚攝推薦
, 萬豪酒店婚攝推薦
, 婚攝Vincent
, 婚攝
, 婚攝
, 婚攝
, 台北婚攝
, 台中婚攝
, 台南婚攝
, 高雄婚攝
, 美式婚攝
, 婚禮攝影美式
, 婚禮攝影推薦
, 婚禮攝影
, 婚禮攝影
, 婚攝推薦
, 婚禮紀錄
, 婚紗攝影
, 寒舍艾美婚攝
, 婚禮攝影
, 自助婚紗
, 婚攝
, 婚攝推薦
, 婚攝小寶
, 婚禮攝影
, 自助婚紗
, 婚禮紀錄
, 婚攝
, 婚禮攝影
, 婚紗攝影
, 婚攝推薦
, 美式婚禮攝影
, 美式婚紗攝影
, 孕婦寫真
, 親子寫真
, 家庭寫真
, 美式風格婚紗攝影
, 美式風格婚禮攝影
, 台北美式婚禮攝影推薦
, 網站設計
, 網頁設計
, 響應式網頁設計
, SEO最佳化
, SEO搜尋引擎最佳化
, 新秘
, 新秘小淑
, 新娘秘書
, 新娘造型
, 台中新秘
, 婚禮婚紗造型
, 新秘推薦
, 台中西屯霧眉
, 台中霧眉
, 血壓量測
, 腕式血壓計
, 全自動手臂式血壓計
, 心房顫動偵測
, 體溫計
, 耳溫槍
, 額溫槍
, 熱敷墊
, 電毯
, 中風
, 高血壓
, 血壓計
, 血壓計推薦
, 血壓計品牌
, 歐姆龍
, 百靈
, 台北攝影棚出租
, 台北攝影棚租借
, 攝影棚出租
, 攝影棚租借
, 攝影場地租借
, 專業形象照
, 形象照拍攝
, 個人形象照
, 孕婦禮服出租
, 孕婦禮服租借
, 自助婚紗
, 自助婚紗攝影
, 台北攝影棚出租推薦
, 台北專業形象照推薦
, 孕婦禮服出租推薦
, 自助婚紗推薦
, 婚攝
, 婚禮攝影
, 婚禮紀錄
, 婚攝
, 婚攝勇年
, 婚禮紀錄
, 婚紗婚攝
, 孕婦寫真
, 婚禮攝影
, 自助婚紗
, 婚攝推薦
, 文華東方婚攝
, 親子寫真
, 台南親子寫真
, 台中親子寫真
, 高雄親子寫真
, 台南兒童寫真
, 台中兒童寫真
, 高雄兒童寫真
, 台南親子寫真推薦
, 台中親子寫真推薦
, 高雄親子寫真推薦
, 台南家庭寫真
, 台中家庭寫真
, 高雄家庭寫真
, 台南全家福
, 台中全家福
, 高雄全家福
, 婚攝
, 台南婚攝
, 婚禮攝影
, 自助婚紗
, 台南婚禮攝影
, 台南婚禮攝影推薦
, 新秘
, 新娘秘書
, 新娘造型
, 高雄新秘推薦
, 台北新秘推薦
, 新秘Yuki
, 白色夢幻新秘Yuki
, 新娘秘書Yuki
, 新娘助理
, 高雄新秘
, 台北新秘
, 婚禮婚紗造型
, 新娘妝髮造型
, 新秘彩妝造型
, 自助婚紗造型
, 台北新娘秘書推薦
, 高雄新娘秘書推薦
, 花草風造型
, 自然風格造型
, 室內香氛
, 居家香氛
, 房間香氛
, 空間香氛
, 香氛蠟燭
, 香氛精油
, 居家香精
, 精油香氛
, 居家香氛擴香
, 香氛蠟燭推薦
, 房間香氛推薦
, 香氛品牌推薦
, 嚴選香氛
, 香氛推薦
, 精油推薦
, 根尖手術
, 根管治療
, 牙齒再植手術
, 顯微根管
, 鈣化根管治療
, 再生性根管治療
, 牙根黑影與膿包治療
, 高雄根管治療
, 高雄牙齒醫師
, 高雄顯微根管醫師
, 美白牙齒
, 婚攝
, 婚攝
, 孕婦寫真
, 網頁設計/a>
,
, 品牌設計/a>
,
, LOGO設計/a>